歯周病は生活習慣病
歯周病とは
食生活や環境の変化によってひとの身体にも影響を及ぼす時代になりました。
歯周病はその代表的な病気の一つです。歯と歯ぐきの間に付着したプラークによって、歯ぐきや顎の骨まで冒して行く病気なのです。近年では歯周病患者が若年層にまで広がってきています。
右のイラストのように歯と歯ぐきの隙間(歯周ポケット)にあるプラーク等も歯周病の原因の一つです。
治療と予防
歯周病は痛みを伴わずに進行する場合もあるため、知らないうちに進み、歯がグラグラになってしまうことが多いのも特徴です。
当院では歯周病専門医のいる環境を最大限に活用した治療と予防を施しています。
だから80歳で20本の歯を残せるのです。
8020は難しくない
8020→80歳まで20本歯を残す。
口腔内の状態をどう保つかで、将来の残存歯の数は決まると言っても過言ではありません。
当院にて培ってきた、歯周病治療プログラムを受けて頂いた患者さんの口腔内はとても状態が良く、当然歯が多く残る事につながっています。
右の写真の患者さんは何歳?。
右の症例写真は当院に通われている患者さんの口腔内写真です。患者さんが85歳の時の写真です。
患者さんと医院のスタッフが一緒になってケアすることで、よい口腔内の状態を保つことが可能になります。
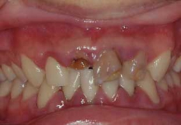
歯周病の改善例
下の2つの症例はは当院で治療を受けた患者さんの経過写真です。しっかりとした治療と患者さんのケアーで改善されたケースです。
症例写真1
初診時の写真

治療後
症例写真2
初診時の写真

治療後
特殊な治療 歯周組織再生療法
詳しくはこちら>>


