インプラント
小嶋歯科医院のインプラント治療
虫歯や歯周病等により歯を失ってしまった場合、入れ歯やブリッジといった処置の治療を行います。
しかし、隣りに歯を削ったり噛む力が十分でなかったり、問題点もありました。
インプラントは失った歯の代わりとなる人工の歯を付ける治療なので、歯がもっている本来の機能を回復させる事が可能となります。

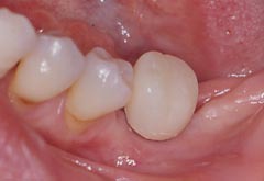
1本が欠損の例

インプラントを埋め込み土台を立てます。

人口歯を被せて治療終了
治療と期間
まずは歯(顎の骨)の状態を検査します。
イラストのようにインプラントを埋め込みます。
治療時間は1~2本で40~60分位です。
その後顎の骨と結合するまで
下顎:約12週間
上顎:約24週間
そして経過を観察し、土台と人工歯を取り付けていきます。
患者さんの状態によっても異なりますので治療前にドクターより説明致します。
症例写真
2本のインプラントをたて、奥歯3本の人工歯を取り付けた例です。
下記症例は上の歯を取り付けた例です。下の歯でインプラント治療を行った場合の治療時間は
ほぼ半分の100日程度です。

初診時

インプラント術後180日

インプラント術後200日

人口歯の取り付け